Bonding
Küçük dokunuşlarla büyük değişim.

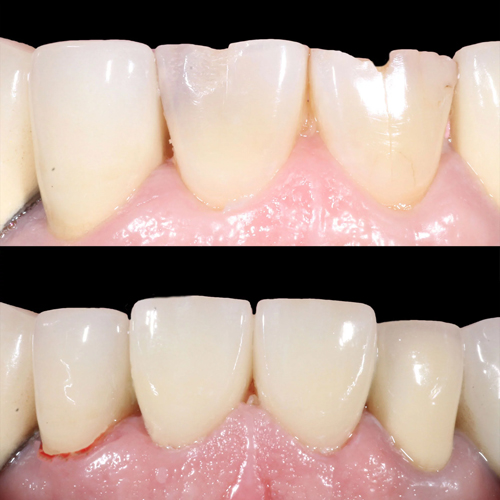
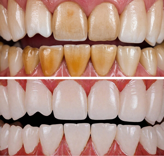
Bonding yöntemiyle dişlerinizdeki kırık, çatlak, boşluk veya şekil bozuklukları tek seansta estetik hale getirilebilir. Doğal görünümlü kompozit dolgular sayesinde gülüşünüz çok kısa sürede yenilenir. Hem hızlı hem de ekonomik bir çözümdür.

Bonding Nedir?
Bonding, diş yüzeyine diş renginde kompozit dolgu materyali eklenerek yapılan estetik bir işlemdir. Amaç, dişlerdeki küçük kusurları kapatarak daha estetik bir gülüş kazandırmaktır. Uygulama sırasında dişe minimal müdahale yapılır, doğal doku korunur.
Bonding Hangi Durumlarda Tercih Edilir?
-
Dişler arasındaki küçük boşlukların kapatılmasında
-
Çatlak veya kırık dişlerin onarılmasında
-
Renk bozukluklarının düzeltilmesinde
-
Diş boyunun uzatılmasında
-
Hafif eğriliklerin düzeltilmesinde
Bonding, genellikle ön dişlerde estetik kusurları gidermek için tercih edilir.


Bonding İşlemi Nasıl Yapılır?
-
Diş yüzeyi özel bir jel ile pürüzlendirilir.
-
Dişe uygun renkte kompozit malzeme seçilir.
-
Kompozit materyal diş üzerine katmanlar halinde uygulanır.
-
Özel ışık ile sertleştirilir.
-
Şekillendirme ve cilalama işlemi ile doğal görünüm kazandırılır.
Tüm işlem genellikle 30–60 dakika sürer. Çoğu zaman tek seansta tamamlanır.
Bonding İşleminin Avantajları
-
Hızlı sonuç: Tek seansta estetik görünüm elde edilir.
-
Ekonomik: Veneer veya kaplama gibi işlemlere göre daha uygun fiyatlıdır.
-
Doğal görünüm: Diş renginizle uyumlu malzeme kullanılır.
-
Ağrısız: Çoğunlukla anesteziye gerek kalmaz.
-
Doku dostu: Dişe minimum müdahale ile uygulanır.


Bonding Ne Kadar Dayanır?
Bonding uygulamaları düzenli bakım ile ortalama 5–7 yıl dayanabilir.
-
Çok sert gıdaları ısırmaktan kaçınmak
-
Düzenli diş fırçalamak
-
Altı ayda bir diş hekimi kontrolüne gitmek
bondingin ömrünü uzatır.
Bonding Kimler İçin Uygun Değildir?
-
Çok büyük çürükleri olan dişlerde
-
Geniş yapısal bozukluklarda
-
Şiddetli diş sıkma alışkanlığı olanlarda
bonding yerine daha kalıcı çözümler (veneerlere veya kronlara) yönlendirilir.







